It is possible to obtain an aesthetic smile with Turkey zirconium crowns depending on the condition of the current teeth.
Veneers Turkey is a good idea. If you want to improve your smile, you should take the opportunity. Veneers cost Turkey is affordable. Road map to improve the aesthetics of your smile in Turkey:
Zirconium Crowns Turkey is perfectly safe. Sometimes you can see topics like Turkey's teeth gone wrong. People who want to have zirconium crowns in Turkey should pay attention to a few points. In fact, these points are notable everywhere in the world.
- Explain your expectations to the dentist clearly. Veneers and dental crowns are different treatments. Ask him to describe the appropriate treatment for you.
- Get treated with a dentist who specialises in prosthetic treatments. Successful and aesthetic veneers are treated by prosthodontists.
- Check your dentist's resume and have a online search about him/her. You can find patient comments and dental implant before after images. Do not be treated by a dentist about whom you cannot find information.
- Do research about the dental centre in Turkey. Read patient experiences on platforms such as Google and Trustpilot. Do not prefer dental centres with low scores or few comments.
- Get your Turkey veneers done in dental clinics authorised by the Ministry of Health. Check out the documents and certificates of the dental centre in Turkey. Prefer dental clinics with local or international quality accreditations.
- Veneers cost Turkey is affordable. Search for costs from a few clinics. Generally, quality prostheses produced in good laboratories increase costs. Please do not approach with a very low cost motivation. The life of your Turkey veneers may be short.
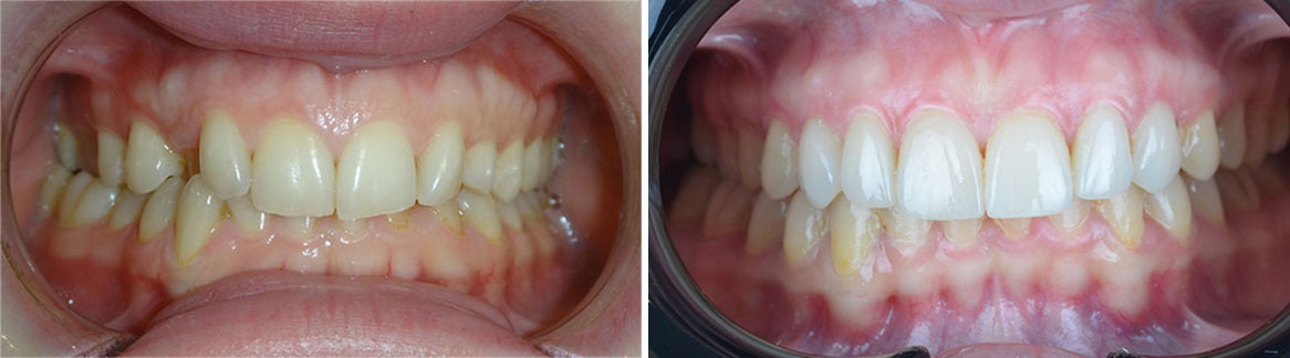
People who got their veneers in Turkey with Cure Voyage have huge smiles. Our team brings people together with the best dentists in Turkey.
Jacob wanted to have a new smile before he got married. His teeth were crowded and discoloured to yellow. He got aesthetic smile in Turkey with Cure Voyage.
He consulted with his dentist about Hollywood smile in Turkey. He wanted veneers, but the prosthodontist said that zirconium crowns were suitable. So they started to build Turkey teeth.
Melissa was not happy with the alignment and shape of her teeth. Her teeth were not suitable for veneers Turkey in the first stage.
Her dentist did not want to do a dental crown. Because he did not want to remove the healthy tooth surface too much. Melissa had time. First she started orthodontic treatment with invisalign. After the Invisalign treatment was successfully completed, the teeth alignment was ideal. It was now possible to change the shape of the teeth with Turkey veneers.
Maciej thought he could get a veneers in Turkey at a very favourable price. He was right and, as an informed person, he consulted several dental centers in Turkey.
Cure Voyage introduced him to a good prosthetist. Unlike many clinic recommendations, he recommended Turkey veneers for only 2 teeth. So Maciej would have a new and aesthetic smile in Turkey.
Elena wanted veneers on her teeth. The alignment and shape of her teeth were already beautiful.
Her dentist insisted that she should not be treated, but he could not change her mind. So they started smile makeover in Turkey. Turkey veneers are done with minimal removal of the healthy tooth surface.
People who got their veneers in Turkey with Cure Voyage have huge smiles. Our team brings people together with the best dentists in Turkey.
Veneers Turkey prices are affordable. It is a good opportunity to get quality treatment services from specialised dentists. Please check the mini price list that we have prepared for you.
| Dental Treatment Prices in Turkey | |
|---|---|
| Consultation | Free |
| Panaromic X-ray | Free |
| Examination | Free |
| Local Anesthesia | Free |
| Metal Porcelain Crown (per tooth) | £ 130 |
| Zirconium Crown (per tooth) | £ 195 |
| emax Crown (per tooth) | £ 325 |
| Laminate Veneers (per tooth) | £ 325 |
| Composite Bonding (per tooth) | £ 110 |
| Teeth Cleaning | £ 60 |
| Teeth Whitening (include teeth cleaning) | £ 260 |
The cost of smile makeover can be relatively affordable in Turkey. Since smile makeover is a concept that includes many types of treatment, the required treatments may be different according to the oral health of the person.
Therefore, the cost will also have differences. However, the mini price list including the relevant treatments that we have prepared for you will help you to have an idea. Please check it out.
| Smile Makeover Package Price List | |
|---|---|
| Consultation | Free |
| Panaromic X-ray | Free |
| Dental Tomography | Free |
| 3D Intraoral Scan | Free |
| Examination | Free |
| Smile Design Genaration by AI | Free |
| Temporary Dental Crowns (if required) | Free |
| Teeth Cleaning | Free |
| Composite Dental Fillings (if required) | Free |
| Local Anesthesia | Free |
| Metal Porcelain Crowns (12 crowns) | £ 1530 |
| Zirconium Crowns (12 crowns) | £ 2150 |
| emax Crowns (12 crowns) | £ 3580 |
| Laminate Veneers(12 veneers) | £ 3590 |
| Composite Bonding (12 teeth) | £ 1300 |
| Metal Porcelain Crowns (16 crowns) | £ 1870 |
| Zirconium Crowns (16 crowns) | £ 2810 |
| emax Crowns (16 crowns) | £ 4680 |
| Laminate Veneers(16 veneers) | £ 4680 |
| Composite Bonding (16 teeth) | £ 1580 |
| Metal Porcelain Crowns (20 crowns) | £ 2290 |
| Zirconium Crowns (20 crowns) | £ 3430 |
| emax Crowns (20 crowns) | £ 5720 |
| Laminate Veneers(20 veneers) | £ 5720 |
| Composite Bonding (20 teeth) | £ 1940 |
| Root Canal Treatment (dental filling is free) | £ 100 |
| Teeth Whitening | £ 260 |
| Dental Curettage (per jaw, if required) | £ 180 |
| Gingival Flap Surgery (half of a jaw, if required) | £ 165 |
| Gingivectomy (per tooth, if required) | £ 50 |
A dental crown is a tooth shaped and coloured prosthodontic product. It can be produced from various materials such as gold, metal, metal-porcelain, glass ceramics and zirconium. It can be used for ;
- changing colour and aesthetics
- repairing decayed, broken tooth structure
- root canal treated teeth which are prone to break down.
- covering dental implants
While doing preparations you feel zero pain because it will be done under local anesthesia.
After the preparations your doctor will made temporary crowns in order to make you feel comfortable. If you try to be careful for preventing your teeth from hot and cold stuffs you will be totally fine until the permanent teeth are done. After luting the permanent teeth under local anesthesia you will still be fine because the teeth will be covered for good after that.
- It can give you an aesthetic view if your teeth is not aligned with your other teeth.
- It can change colour of your stained or discoloured tooth.
- Between 10-25 years if the teeth underneath the crown keeps stay healthy.(It can change its status due to some illnesses such as diabetes or trauma.)
- On the other hand tooth preparations means removal of tooth enamel which can cause sensitivity and lead to root canal treatment.
- It can be broken and fractured over time but also natural tooth can do it as well.
- Lastly crowns may be expensive.
Smile makeover provides the perfect smile by harmonising the teeth and gums with the face and lips.
Hollywood smile is one of the most complex treatment in dentistry. It may seem easy and they can show you how easy it is with some photos but surely it is not. First of all, the right diagnose, treatment plan, and also the right materials must be chosen. In order to do that you need an experienced doctor in this field.
Smile makeover consists of multiple treatment choises that your dentist will choose for you in terms of necessities. These treatments are:
- Zirconium and E-max glass ceramic crowns
- Composite bonding
- Teeth whitening
- Gingival surgeries for pink aesthetic
- If needed root canal and periodontal treatments.
Nowadays, with the easy accessibility of communication tools, different people in different parts of the world can simply interact with each other. Therefore, people's interest in their esthetics has increased. A beautiful smile has positive advantages for individuals in social environments and business life. That is why people visit dentists to have a more beautiful smile.
Your dentist will recommend smile makeover to have the perfect smile. Most of the time people want to have a smile makeover treatment, because;
It is very conservative method for keeping your teeth healthy and beautiful because only the front surface of your teeth are cut during the procedure.
Laminate veneers are one of the most aesthetic choice. It can not be done if there are missing teeth, if teeth are overcrowded and if there is malocclusion. With laminate veneers colour, shape and volume of tooth structure can be changed easily.
It is the most sensitive method to choose. It is as delicate as it is aesthetic. Laminate Veneeers aftercare should be done very well and the teeth should be used carefully. It is produced with very thin material that can be broken and decemented if you not pay attention to your dentist’s advice.
It takes about one week to complete the laminate veneers. At least two visits to the dentist are required.
Unlike laminate veneers, they are treatment methods that can be chosen for nearly every cases. They can be preferred for treatment in cases of severe crowding, missing teeth and malocclusion.
The entire surface of the teeth is cut for the dental crown, so that the artificial porcelain teeth can be produced in the adequate thickness and in the appropriate shape to maintain aesthetics.
Root canal treatment may be required during the cutting of teeth, especially those with severe crowding or malposition.
E-max glass ceramics are done to the teeth in the aesthetic zone and zirconiums at the molar area. Because zirconiums are stonger and emax glass ceramics have better light translucency for an aesthetic natural smile.
It takes about one week to complete the dental crowns. At least two visits to the dentist are required.
Dental crowns can be used if there is a lack of healthy tooth tissue that cannot be treated with fillings or dental inlays and onlays. Untreated caries grows and restoration with dental fillings becomes impossible. In this case, dental crowns are preferred as a preventive treatment.
Fractured teeth may be too seriously damaged to be restored with a dental filling. If the dentist is sure that the healthy tooth tissue is adequate, he/she may perform a dental crown. If there is heavy wear on the teeth, your dentist may recommend dental crowns to protect the remaining healthy tooth tissue.
If a tooth is lost for various reasons, the ideal solution is dental implants. However, dental implants are not preferred because of their cost or other health conditions. If your dentist decides that the adjacent teeth are handy, he/she can treat the missing tooth by creating a bridge with dental crowns.
Dental crowns are a treatment method also used to prevent aesthetic concerns. If there is a colour disharmony in the teeth or if the form of the teeth are distorted, the teeth are restored to the desired colour and appropriate form with dental crowns.
Its a cosmetic treatment in which a tooth coloured composite material is applied on your teeth in order to change colour, repair cracks and chippings, closing gaps and even lengthening your teeth for a better smile.
It can be done in one dentist visit. It also has cost advantage according to dental crowns however not a long lasting treatment because of poor color stability over years and lower strength.
Consists of multiple steps such as choosing the colour, preparing the tooth surface with conditioners, applying the composite material layer by layer,curing the composite, and polishing. Nearly 3 hours are enough for 10 teeth smile design with composite bonding.
Smiling is very important for your self-confidence and may not be so hard to have a whiter smile if you have stains.
Teeth whitening is a chairside process where your doctor puts some bleaching agents on your teeth front surfaces and activate it with laser light in order to start an oxidation process. The agents are strong therefore, your dentist will take precautions to protect your gums and lips.
For people who has only problems with colour may choose teeth whitening because it never gives any harm to your teeth and the fastest method for achieving a whiter smile. Mostly for better results in-office and at-home teeth whitening can be performed one after the other.

Smile aesthetics has two components, white and pink aesthetics. Teeth colour, alignment and shape create white aesthetics. Pink aesthetics is the result of gingival and lips.
In some cases people wonder what is missing in their smile eventhough they have beautiful teeth. Mostly the answer is through your gums. A healthy gingiva usually has coral pink colour and do not bleed while brushing your teeth. Like the teeth, gingiva should be aligned and be in harmony for a better smile. In order to that gingival surgery may be needed. These operations are called gingivectomy which can be done in the first appointment before the preperations of your teeth.
Root canal and periondontal treatments are supportive treatments to achieve a long term result.
Because of the tooth preperations or caries, dental nerves may be affected during the dental treatment process. If your doctor suggests a root canal its a must to do it. This may be the result of an extra crowded teeth or large dental caries. Periondontal treatments such as curettage or scaling may also be needed for gingival health.
Smile makover is a process that includes many dentistry treatments. There are dentists with expertise for each treatment branch.
Receiving treatment services from dentists who are not experienced or specialised increases the possibility of trouble. It is wise to be treated by dentists who understand your expectations and provide the ideal dental solutions for your needs.
Some treatments performed within the concept of smile makeover as teeth whitening may cause tooth sensitivity. This is normal and temporary. If the sensitivity is very severe or continues for a long time(more than 3 weeks), you should visit your dentist.
As a result of the treatment, gingivitis may occur in some patients. It should be treated before it causes serious gum disease. If you feel discomfort gums, you should visit your dentist.
Lack of attention to oral hygiene after treatment may cause gum disorders. In addition, if you do not fulfil the suggestions of your dentist after treatment, the treatment lifespan will be shortened.
Some dental veneers and fillings that are not well performed during the treatment will not be fitting. Thus, bacteria leak between the tooth and the material. These bacteria cause tooth decay without being noticed. Therefore, you should have your treatment in a good dental centre. After the treatment, you should not skip your routine visits to the dentist.
Oral care should be done regularly if you want your new smile to be long-lasting.
Teeth should be brushed at least 2 times a day with a soft toothbrush. Do not apply too much pressure on the treated areas in the first stage. After a while, you should start using dental floss.
Do not eat anything until the numbing effect of the local anaesthesia injected during the treatment disappears. This will prevent you from damaging soft tissues such as cheeks and lips. You should not consume foods containing colourants for 2 weeks after teeth whitening. Avoid consumption of hot and cold food. Do not smoke especially if you have teeth whitening treatment and gum treatment.
It is normal to have some pain after the treatment. You can use painkillers after consulting your dentist.
While the aesthetic expectation is high, the material used may not be very durable. Therefore, hard objects should not be bitten.
Do not miss your routine dental visits. If you want to have healthy mouth and teeth, you should visit the dentist regularly.
A detailed intraoral examination of the patient is performed with the assistance of a panoramic X-ray image.
In order to build a dental crown dentist should make some preparation in your teeth first. Teeth preparations are about 1.5-2 mm in every aspect of your teeth. So the teeth gets smaller and at least 1.5 mm of crown thickness can be made in order to gain strength. Too much preparation can lead to root canal treatments for damaging the nerves and less preparations means bulky big crowns most of time can not be acceptable as they cause aesthetic problems. Preparations should be nearly matched in every angle in order to keep material strength every corner of your crown.
After preparations are finished impressions will be taken digitally or conventionally with silicone materials. Temporary teeth will be made to cover for the teeth until the permanent teeth are done.
After 3 to 7 seven days permanent crown will be luted to your prepared tooth.
There is nothing special about it. It will be same with your other teeth. You will only brush them twice a day at least and clean with dental floss every night in order to clean contact surfaces.
We do our best to ensure that our patients' dental treatments are comfortable. Keeping their satisfaction at the highest level is very important to us.
Please fill the form, we will contact to you for online dental consultation.
Please fill the form, we will contact to you for online dental consultation.











