phone +90 551 998 33 01
Ask Your Dentist Now
The easiest way to get quality dental care!
We are ready to share our experience about dental centers with you. Let us introduce you to specialist dentists , so that you can have your new teeth in Turkey.
Cure Voyage Dental Care in Turkey
Get a free dental consultation today!

Please fill the form, we will contact to you for online dental consultation.

Book Now
Good dental health is a journey; Let us accompany you!

Feel free to contact us
for better help and service

Feel free to contact us! Besides meeting you with good dental centres that will give you a happy smile, we help you to find flights and accommodation. We also provide transfers between the airport, clinic and hotel.

See all Treatments
Healing Stories

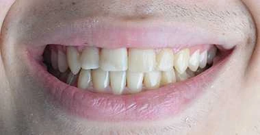
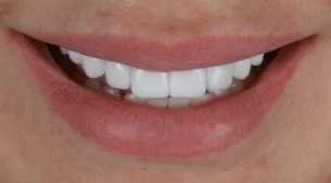
Elena's Emax Laminate Veneers Treatment

Feel free to contact us
for better help and service

01
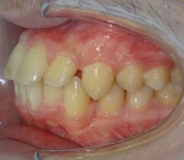
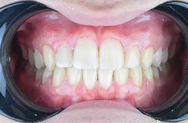
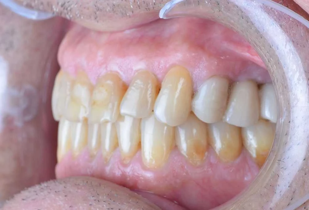
Before

Elena's teeth were beautiful, but she wanted a different smile. We tried to convince her to keep her healthy tooth tissue. She was very motivated, she had a model in her mind. We decided that the best choice was emax veneers and started the process.

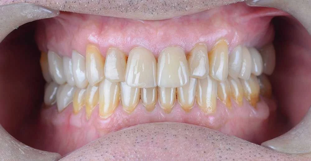
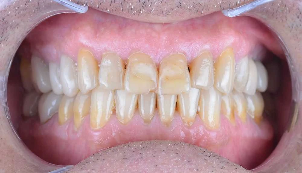
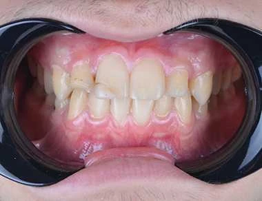
02
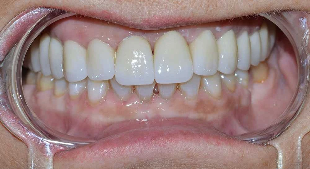
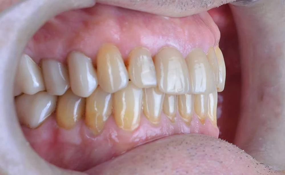
After

Firstly, we took photographs in our dental studio. We took impressions with a 3D intraoral scanner and shared them with the laboratory. Using the photos and scanned intraoral images, we created the model of the new teeth digitally. It was as Elena wished. The laboratory started production and after 5 days, emax crowns arrived at our clinic. We performed the veneers in her mouth on the same day. We achieved a successful result and we informed our patient about the aftercare and she went to her country.

03
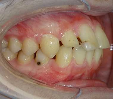
Treatment Plan

10 unit of emax veneers are planned.

£ 3.250 Time Scale: 6 Days City: Istanbul Get 24/7 live chat or phone support

All Healing Stories
Patients’ Opinion Matters!

We do our best to ensure that our patients' dental treatments are comfortable. Keeping their satisfaction at the highest level is very important to us.

Melissa N. 01.03.2023
I wanted the smile makeover. I researched and contacted this firm. I had an online consultation with the dentist in Turkey. She convinced me that if we improve the alignment of my teeth, I will have an aesthetic appearance with laminate veneer without much damage to my teeth. She said that we could start clear aligner treatment first, but she said that the issue would be more clear in the clinical environment. The process progressed as we discussed at the beginning. It took some time, but I have both aesthetic and healthy teeth.
Jacob C. 04.06.2023
I have my wedding next month and I want everything to be perfect. I was not happy with the shape and colour of my teeth. I had some friends who had their teeth done in Turkey. I quickly searched the internet and met this team. They accompanied me throughout my entire treatment. I am very pleased with the clinic they recommended to me. I would like to thank my dentists and their team for giving me this beautiful smile before my wedding.
Georgiana B. 15.04.2023
I wished to reward myself and decided to have laminate veneers on my teeth. While searching on the internet, I realised that it was cheaper in Turkey. As a result, I contacted the company. They guided me and i went to Istanbul. Doctor Ege examined me and said that laminate veneers were not suitable. Because I was clenching my teeth too hard and the laminate veneer could be broken. He offered an alternative that we can achieve aesthetics with zirconium crowns, although not as much as laminate. I accepted but I had concerns. When my treatment was completed, I realised that my worries were unnecessary because it felt good. I liked that he warned me and gave up laminate.
Yusra B. 25.11.2022
I have a friend who has had teeth done in Turkey and is very naturalistic. I wanted teeth that were not noticeable by others, but I had mobility in my front teeth. I was very afraid of losing my teeth. When I sent my X-rays and photos, they said that there was nothing to be afraid of and that gum treatment would be done before the crown. When I first came to the clinic, the doctor and staff made me feel very comfortable. First, my gum treatment was done and it was expected to heal for 5 days. Afterwards, they made my teeth cut and took their measurements. After a very short time, I had teeth that were not noticeable from others, just as I wanted. When I looked at the mirror they gave me after they bonded my teeth, I couldn't stop myself from being surprised at how it could be so much natural. A team that understands your wishes and supports you from beginning to end.
Maciej M. 02.07.2023
I had heard that dental treatments were cheap in Turkey. I was concerned about the situation of some of my teeth. I did some research and met with various dentists. In general, they offered to make veneers on my 10 teeth to make my smile aesthetic. I also contacted Belal from this agency and he contacted me with prosthesis specialist Ege. Ege said that he thought I could have an aesthetic smile with fewer veneers. I wanted my teeth to look as natural as possible, so it built trust. I had planned a long holiday, I had a plan just in case. At first, I went to Ege's clinic, I was examined and we decided to make laminate veneers only on my 2 teeth that were worn out. So it was even less costly. My treatment was over before we could even discover Istanbul. I continued my holiday with my new teeth.
Samantha K. 12.04.2023
I could not laugh in front of my friends, I was constantly covering my mouth with my hand. I was very bored with this situation and I wanted to take action anyway. I found this place in my research on the internet and I contacted very quickly. When I told my story, they listened to me calmly and explained the solution very quickly and clearly. I liked this situation very much and we took the necessary actions without wasting any time. When I came to the clinic, they said that I had bone loss in some parts of my jaw, but that they would solve it with the most appropriate method. I reported that I could not sit on the couch for a long time and the doctor really acted very quickly and placed 4 implants on top and 2 implants on the bottom in almost 2 hours. We made an appointment for 3 months later and I had no problems with my temprorary teeth until then. When I came to the second time, they make my teeth without any trouble, I am very happy now and I can laugh as I want.
Ergunnes 01.10.2023
The dental crowns that I had done before harmed my gums and got a bad appearance. I wanted to change it, I reached this company by searching the internet. We had an online meeting and the dentist listened to me. The treatment plan they offered me seemed appropriate. We arranged my travel and accommodation with the company representative. They picked me up from the airport and took me to my hotel. Everything went very well. I rested for a day and then went to the clinic for my appointment. I had an x-ray and was examined. Doctor Ege created a new plan almost similar to the treatment plan they had made in our previous meeting. Istanbul was very fun, and my treatment was completed as I wanted.
Hazal D. 12.08.2023
I was not satisfied with my crowns that I had used before and I thought that they should be changed and I should use more natural crowns. I started to do research on the internet. When I found this place, they said that my gums might have problems and that's why my pain might be because of this. When I came to the clinic, we learnt that I had inflammation in my gums. Gum treatment was started quickly. first they made a proving and although it was a trial, it was very nice. After my recovery was complete, I went again and they took my impression. I had even more beautiful teeth than in the trial.
Pauline G. 25.10.2022
During our planned holiday in Turkey, I learnt that the dental service prices here are affordable. I met Mr. Bilal from the research I did on the internet. With his interest and quick guidance, we made an appointment to the dental clinic. I had a very fast and painless treatment process. At the end of the day, my veneer was natural and real like as I wanted.
Elena 02.05.2023
I was sure that my teeth would look different, so I thought I would feel better. I contacted with the recommendation of a friend. We met online, dentist Ege said that my smile was very aesthetic. At first I didn't understand why he did this, I thought it would be better to research other places, but during the conversation I realised that he cared about natural teeth. He also understood my concerns, I decided to be treated. Turkey is already a country where I have visited a lot, I like to spend summers in Antalya. I prepared my trip and set off for Istanbul. We completed my treatment in a short time, I am very satisfied.
Smile Gallery
Trustpilot Reviews
Google Reviews
Facebook
Every smile is special! With a smile, hearts soften, goodness surrounds, the world changes.
12000+ Dental Implant
10000+ Smile Makover
53000+ Dental Crowns
450+ Clear Aligners
Smile Gallery All Photos
Four Steps to a Magnificent Smile

We are ready to support you during the entire dental treatment process. Do you really need it? First you should decide to have dental treatment in Turkey. So, we can meet us and start talking. Don't worry about finding the right dental clinic, accommodation, transportation, etc., we are experienced in these topics, we will organize all your needigs here. You will have a beautiful new smile while you get back your home.

1
Decide
2
Meet us
3
Let's organize
4
Enjoy your new smile
Book Now
Blog

We have 0 articles and blog posts.

All Blog Posts

To be among the first to receive our free newsletters, please register to our e-newsletter form and confirm your e-mail address.

Get a free dental consultation today!

Please fill the form, we will contact to you for online dental consultation.