phone +90 551 998 33 01
Ask Your Dentist Now

Adam’ Full Dental Implants Turkey

Adam's teeth loose and pain problems were solved with dental implants in Turkey. All on four implants were performed.

Total Cost £ 8500
01
Treatment Plan

Extraction of teeth, All on Four Dental Implants Turkey for Both Jaws

02
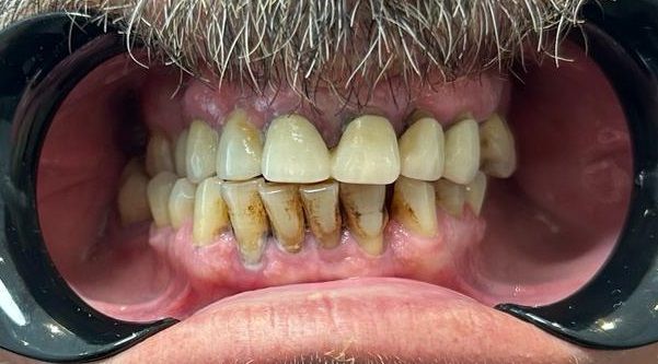
Before

Adam suffered from loose teeth and pain when eating. The specialist dentist examined and found periodontal problems. There was also bone loss.

03
After

The specialist dentist decided to extract all the teeth due to bone loss. Considering the amount of bone on the jaw and the sinus gaps, all on four dental implants was appropriate. Thus Adam enjoys full mouth dental implants cost Turkey which is affordable. The healing process of dental implants was 3 months. Then Adam visited our clinic once again for dental crowns. After the treatment was completed, Adam loved his new teeth.

Adam Had His New Smile in Turkey After All on Four Dental Implants
£ 8500 Time Scale: 2 Visits City: Istanbul

Feel free to contact us
for better help and service

Book Now
Other Healing Stories
All Healing Stories

To be among the first to receive our free newsletters, please register to our e-newsletter form and confirm your e-mail address.

Get a free dental consultation today!

Please fill the form, we will contact to you for online dental consultation.