phone +90 551 998 33 01
Ask Your Dentist Now

Brian Dental Implants in Turkey

Brian visited Turkey and had dental treatment. He got dental implants Turkey for his missing teeth. For an aesthetic smile, he had veneers Turkey.

Total Cost £ 6350
01
Treatment Plan

5 Straumann Dental Implants, Sinus Lifting, 5 Zirconium Crowns on Dental Implants, 2 Emax Veneer Crowns, 4 Veneers, Bleaching, Root Canal Treatment, Dental Filling

02
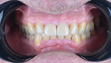
Before

Brian was travelling the world. Turkey was on his route. He had some dental problems, he decided that he could have his treatment while travelling in Turkey. Brian obtained quality service for his health at affordable costs.

03
After

Brian had missing teeth, so our oral and maxillofacial surgeon performed 5 Straumann dental implants. He needed a sinus lifting operation. The recovery period was at least 6 months. While treating her missing teeth, he also wanted to fix the slight crowding of his front teeth in his upper and lower jaws. He wanted it to look like his natural teeth, our prosthodontist performed 2 crowns and 4 veneers. As a result of the healing of the dental implants, zirconium crowns were placed on them. Brian's restorative treatments such as tooth filling and root canal treatment were also completed.

£ 6350 Time Scale: 3 Visits City: Isanbul

Feel free to contact us
for better help and service

Book Now
Other Healing Stories
All Healing Stories

To be among the first to receive our free newsletters, please register to our e-newsletter form and confirm your e-mail address.

Get a free dental consultation today!

Please fill the form, we will contact to you for online dental consultation.