phone +90 551 998 33 01
Ask Your Dentist Now

Yusra's Zirconium Crowns Treatment

Yusra was unhappy with her teeth in the front area. We provided her with healthy teeth similar to her natural smile.

Total Cost £ 2.430
01
Treatment Plan

12 unit of zirconium crowns, periodontal therapy and root canal to number 12 are planned.

02
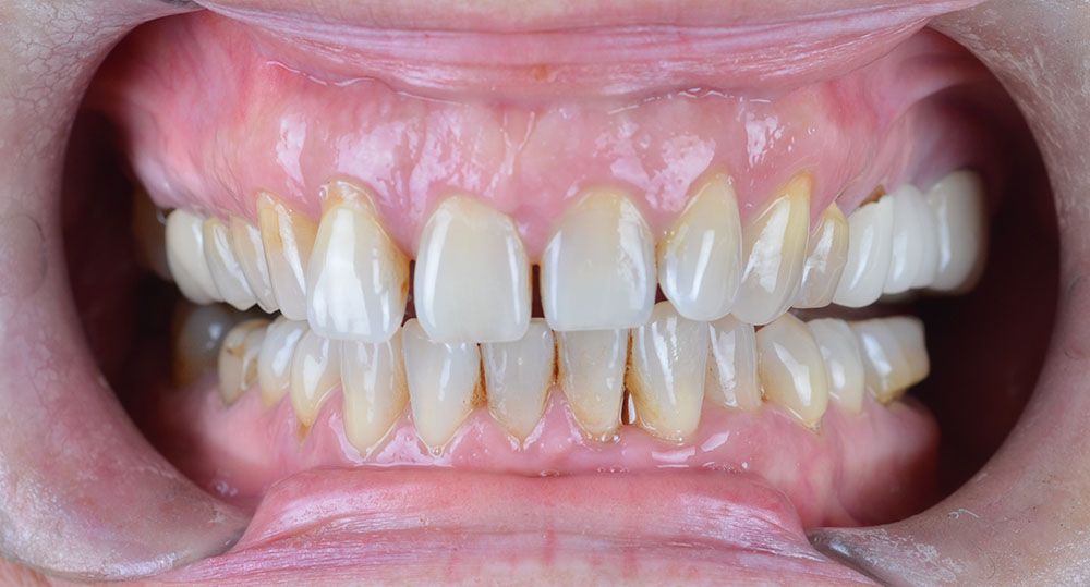
Before

Yusra contacted with us about her complaint of lateral tooth. She told us that her lateral is moving forwards everyday. On the other hand she does not want an artifical smile and she told us that she likes the shape of her own tooth and do not want to change a lot. After careful examinations we understood that her bone support was decreasing and that was the reason of her moving teeth. Because of natural chewing forces some of her teeth were not durable so long. She had a periodontal disease also. So we started building.

03
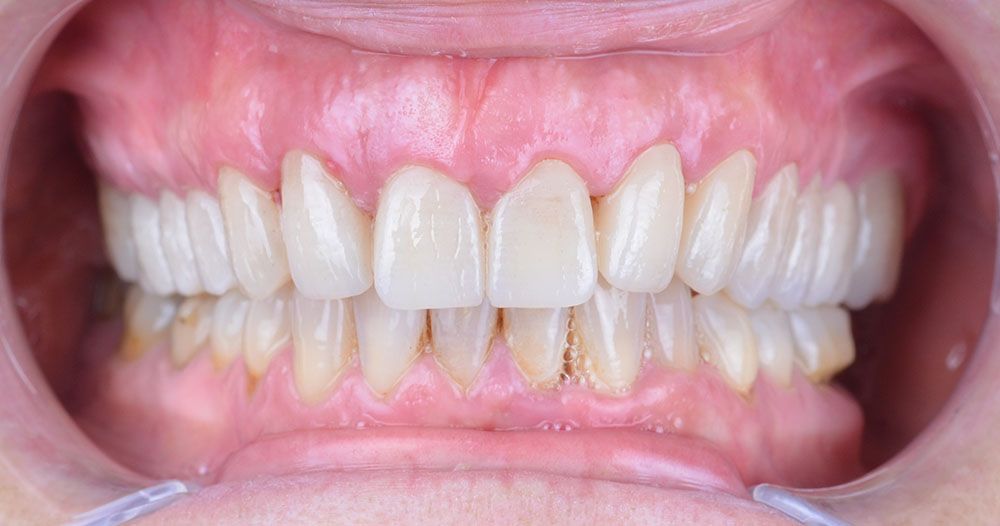
After

We started our periodontal treatment with curetage. After 5 days of healing we took her initial impression digitally in order to build similar crowns to her previous ones. After taking photos and impressions we made 12 teeth preperations for zirconium crowns and 1 root canal therapy for number 12. Lab build similar shaped crowns with a more aligning smile and after one try in appointment we finished our zirconium crowns and luted with resin cement. She told us that nobody understood that her teeth are crowned and was so happy with the result.

£ 2.430 Time Scale: 9 Days City: Istanbul

Feel free to contact us
for better help and service

Book Now
Yusra's comment on her treatment experience
Yusra B. 25.11.2022
I have a friend who has had teeth done in Turkey and is very naturalistic. I wanted teeth that were not noticeable by others, but I had mobility in my front teeth. I was very afraid of losing my teeth. When I sent my X-rays and photos, they said that there was nothing to be afraid of and that gum treatment would be done before the crown. When I first came to the clinic, the doctor and staff made me feel very comfortable. First, my gum treatment was done and it was expected to heal for 5 days. Afterwards, they made my teeth cut and took their measurements. After a very short time, I had teeth that were not noticeable from others, just as I wanted. When I looked at the mirror they gave me after they bonded my teeth, I couldn't stop myself from being surprised at how it could be so much natural. A team that understands your wishes and supports you from beginning to end.
Other Healing Stories
All Healing Stories

To be among the first to receive our free newsletters, please register to our e-newsletter form and confirm your e-mail address.

Get a free dental consultation today!

Please fill the form, we will contact to you for online dental consultation.