phone +90 551 998 33 01
Ask Your Dentist Now

Isabel's Dental Implants Treatment

Isabel had two teeth missing. She contacted Cure Voyage to get the best treatment at an affordable price in Turkey. She would like to share her treatment plan, dental treatment costs and experiences.

Total Cost £ 900
01
After (Continues)

We had a successful operation. We performed dental implants to the jawbone without any complications. We informed the patient about what to do after the treatment. We prepared and delivered the warranty certificates. We need at least 3 months for healing. We sent the patient off to meet again for veneers.

02
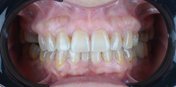
Before

Isabel told us that she lost teeth number 15 and 25 about 5 years ago. She hadn't had treatment yet because she didn't have time. She wanted to improve the appearance of her teeth and wanted better chewing function. In our online consultation, we told her that the most ideal treatment would be dental implants. She also contacted us upon this request. Isabel came to Turkey a week after our meeting. She was examined in our clinic. There was adequate amount of bone and appropriate sinus spaces. In addition, there was a large filling in her tooth, which had previously had root canal treatment, and we recommended a crown on that tooth for long lasting usage. We decided to perform dental implants.

03
Treatment Plan

Two AlphaBio dental implants for teeth number 15 and 25 also metal porcelain crowns on them.

£ 900 Time Scale: One Day City: Istanbul

Feel free to contact us
for better help and service

Book Now
Other Healing Stories
All Healing Stories

To be among the first to receive our free newsletters, please register to our e-newsletter form and confirm your e-mail address.

Get a free dental consultation today!

Please fill the form, we will contact to you for online dental consultation.