phone +90 551 998 33 01
Ask Your Dentist Now

Samantha's All on Four Dental Implants Treatment

According to Samantha's bone condition, we decided to perform all on four dental implants. You can get an idea about the treatment process and the costs of all on four dental implants.

Total Cost £ 7.450
01
Treatment Plan

The remaining teeth in upper jaw are extracted and all-on-4(Nobel biocare) is planned. For lower jaw, two implants will be inserted in canine regions and 6 unit metal-fused porcelain restorations will be finished.

02
Before

She told us that she can never smile with her teeth and wanted to turn a new page about it. After examinations, we could not used her upper teeth because of unsufficient bone support. Also she did not have enough bone at the molar regions in upper jaw because of her maxillary sinuses. She did not want complex surgical procedures that are difficult for her to handle. So we decided to make an all-on-4 which is a special technique to build up fixed porcelains.

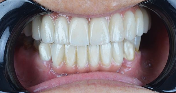
03
After

After making local anesthesia, our surgeon extracted her upper 6 teeth and inserted 4 implants in just 1 hour. Also 2 dental implants were performed to bottom jaw. We prepared a fixed temporary prosthese after the surgery and fixed it into the implants. She could not believe her eyes that she had even new temporary fixed teeth(acyrlic) in just 3 hours from the start. She turned back to London. After 3 months of healing period she came back to our clinic for her final prothese. We took her open-tray impressions which is special to all-on-4 and her photos to build up her new smile line. After 7 days, the definitive form of porcelain prothesis are finished for both jaw and fixed the prosthese by giving torque to her wires without any luting agents. She was so happy with her new smile.

£ 7.450 Time Scale: 9 Days City: Istanbul

Feel free to contact us
for better help and service

Book Now
Samantha's comment on her experience
Samantha K. 12.04.2023
I could not laugh in front of my friends, I was constantly covering my mouth with my hand. I was very bored with this situation and I wanted to take action anyway. I found this place in my research on the internet and I contacted very quickly. When I told my story, they listened to me calmly and explained the solution very quickly and clearly. I liked this situation very much and we took the necessary actions without wasting any time. When I came to the clinic, they said that I had bone loss in some parts of my jaw, but that they would solve it with the most appropriate method. I reported that I could not sit on the couch for a long time and the doctor really acted very quickly and placed 4 implants on top and 2 implants on the bottom in almost 2 hours. We made an appointment for 3 months later and I had no problems with my temprorary teeth until then. When I came to the second time, they make my teeth without any trouble, I am very happy now and I can laugh as I want.
Other Healing Stories
All Healing Stories

To be among the first to receive our free newsletters, please register to our e-newsletter form and confirm your e-mail address.

Get a free dental consultation today!

Please fill the form, we will contact to you for online dental consultation.