phone +90 551 998 33 01
Ask Your Dentist Now

Hazal's Zirconium Crowns Treatment

Hazal had an aesthetic smile in Turkey. Take a look at Hazal's experience to give you an idea about cosmetic dentistry and cost of zirconium crowns in Turkey.

Total Cost £ 2.390
01
Treatment Plan

12 unit of zirconium and periodontol treatment is needed. Gingivectomy is also planned for making the gums look even.

02
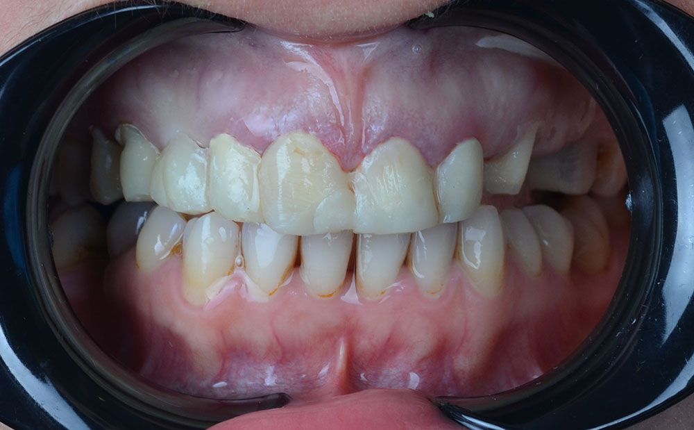
Before

She contact to us with the complaint of her maxillary teeth. After careful examinations we decided that she has gingivitis and her previous crowns were not natural and fitting well. But also she was not sure about us. So we took her photos and initial impressions and send them to our lab for creating a smile model.

03
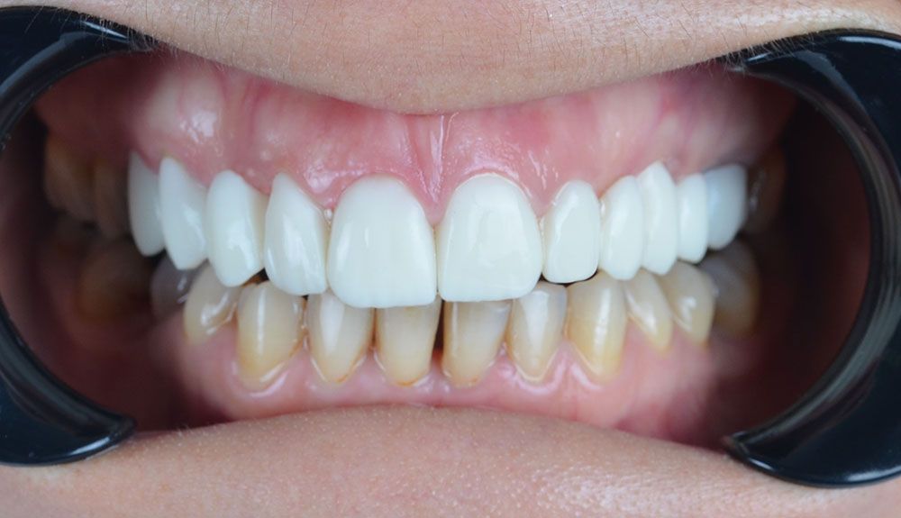
After

Our lab send us a model that shows us the final form of her teeth after 3 days. We showed it to our patient and she liked the final result. So after she confirm the treatment we decided to start with periodontal treatment and gingivectomy. After 7 days of healing, we started preperations and took our impressions to send it back to the lab. The lab produced the same teeth we showed our patient before by replicating the previous teeth design. So our patient had the teeth we showed her before by only waiting 3 more days and also for some extra cost. But the result was for good.

£ 2.390 Time Scale: 11 Days City: Istanbul

Feel free to contact us
for better help and service

Book Now
Hazal's comment on her treatment experience
Hazal D. 12.08.2023
I was not satisfied with my crowns that I had used before and I thought that they should be changed and I should use more natural crowns. I started to do research on the internet. When I found this place, they said that my gums might have problems and that's why my pain might be because of this. When I came to the clinic, we learnt that I had inflammation in my gums. Gum treatment was started quickly. first they made a proving and although it was a trial, it was very nice. After my recovery was complete, I went again and they took my impression. I had even more beautiful teeth than in the trial.
Other Healing Stories
All Healing Stories

To be among the first to receive our free newsletters, please register to our e-newsletter form and confirm your e-mail address.

Get a free dental consultation today!

Please fill the form, we will contact to you for online dental consultation.