phone +90 551 998 33 01
Ask Your Dentist Now

Georgiana's Zirconium Crowns Treatment

Georgiana wanted an aesthetic smile in Turkey. We helped her get the smile she wanted with zirconium crowns. Please see Georgiana's new teeth and dental treatment costs in Turkey.

Total Cost £ 2.190
01
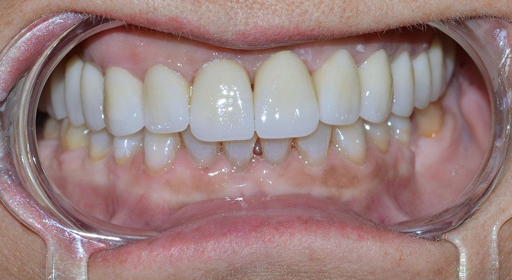
After

After taking her smile photos, we prepared her teeth in one hour and took the impressions. After the operation we made her temporary teeth also for comfort. 3 days later, 12 unit of zirconium crowns were finished and luted with resin cement. After finishing her teeth we also prepared a night guard for her bruxing activities. We are still doing her online controls after 3 years and everything is going perfect.

02
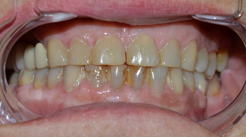
Before

She told us that she was very unhappy with her smile because her teeth were very straight. And she wants laminates. After clinical examinations we understood that she has worn teeth because of bruxing her teeth. Laminate is not an option for bruxers, and we decided to choose both strong and aesthetic material which is zirconium.

03
Treatment Plan

12 unit of upper zirconium crowns is planned.

£ 2.190 Time Scale: 4 Days City: Istanbul

Feel free to contact us
for better help and service

Book Now
Georgiana's comment on her treatment experience
Georgiana B. 15.04.2023
I wished to reward myself and decided to have laminate veneers on my teeth. While searching on the internet, I realised that it was cheaper in Turkey. As a result, I contacted the company. They guided me and i went to Istanbul. Doctor Ege examined me and said that laminate veneers were not suitable. Because I was clenching my teeth too hard and the laminate veneer could be broken. He offered an alternative that we can achieve aesthetics with zirconium crowns, although not as much as laminate. I accepted but I had concerns. When my treatment was completed, I realised that my worries were unnecessary because it felt good. I liked that he warned me and gave up laminate.
Other Healing Stories
All Healing Stories

To be among the first to receive our free newsletters, please register to our e-newsletter form and confirm your e-mail address.

Get a free dental consultation today!

Please fill the form, we will contact to you for online dental consultation.