phone +90 551 998 33 01
Ask Your Dentist Now

Manuel's Invisalign in Turkey

Manuel, who was unhappy with the gaps between his teeth, preferred Turkey for Invisalign. He visited Turkey four times during 8 months. Now he is enjoying his new smile.

Total Cost £ 2440
01
Treatment Plan

Invisalign Lite

02
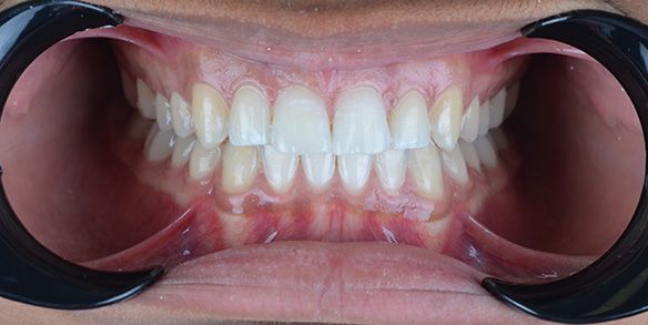
Before

Manuel had previously undergone orthodontic treatment. However, his teeth misaligned due to lack of reinforcement orthodontic treatment. There are gaps between his teeth and he complains about the angle of his front teeth in the upper jaw. He wanted to have Invisalign in Turkey.

03
After

We performed an intraoral 3d scan of the Manuel. We shared with Invisalign to produce the clear aligners. We thought the Lite package would be enough. There was an 8-month treatment process. Manuel came to our dental centre in Turkey four times during this period. We supported Invisalign with orthodontic reinforcement treatment. We placed a lingual retrainer behind his teeth. We gave him the SX plaque to use at night before sleeping.

Manuel Had His New Smile in Turkey After Invisalign
£ 2440 Time Scale: 4 Visits City: Istanbul

Feel free to contact us
for better help and service

Book Now
Other Healing Stories
All Healing Stories

To be among the first to receive our free newsletters, please register to our e-newsletter form and confirm your e-mail address.

Get a free dental consultation today!

Please fill the form, we will contact to you for online dental consultation.