phone +90 551 998 33 01
Ask Your Dentist Now

Luna's Invisalign in Turkey

Luna was looking for a new smile. She didn't prefer orthodontics with metal brackets. Because she had aesthetic concerns. She comfortably had her new smile with Invisalign.

Total Cost £ 4585
01
Treatment Plan

Wisdom Tooth Extraction, Zirconium Crown, Invisalign Comprehensive, Sinus Lifting, Dental Implant AlphaBio, Zirconium Crown on Dental Implant

02
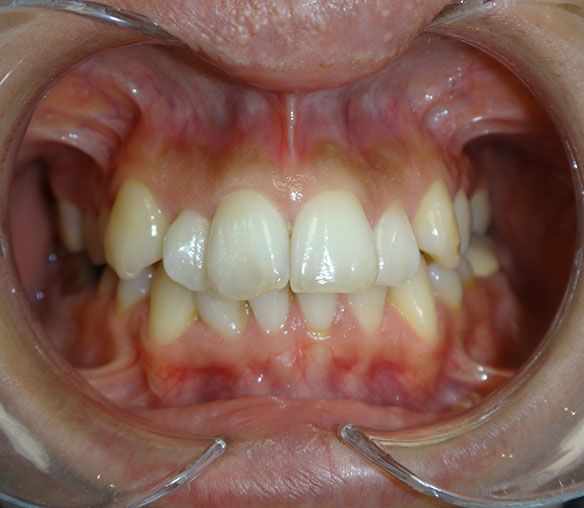
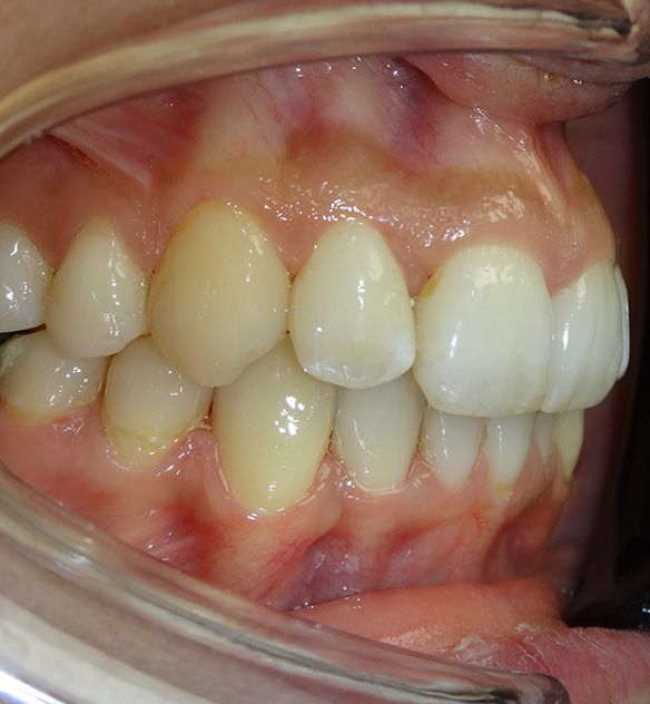
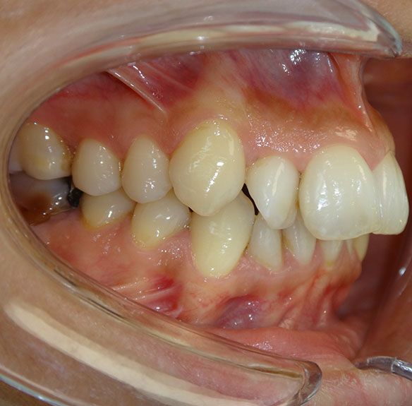
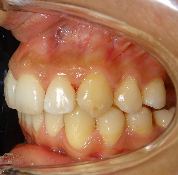
Before

Luna didn't like her teeth alignment. She did not favour orthodontic treatment with metal braces. Because she had aesthetic concerns. In addition, she had missing teeth and teeth that needed to be restored.

03
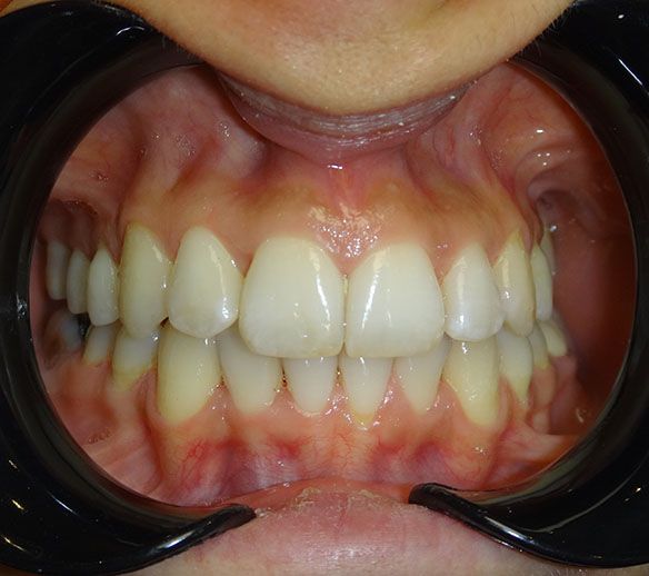
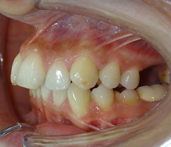
After

We could only save Luna's decayed tooth with a crown. We performed a zirconium crown. Our surgeon extracted her wisdom teeth for ideal tooth alignment. We found that we can improve the tooth alignment with Invisalign Comprehensive package. We did intraoral 3d scanning. We shared the information with Invisalign. We delivered the clear aligners to Luna. We completed the invisalign treatment as a result of 5 visits during 14 months. On her last visit, our surgeon performed AlphaBio dental implant with sinus lifting. We will make zirconium crown on the dental implant. We are happy to see Luna again.

Luna Had Her New Smile in Turkey After Invisalign
£ 4585 Time Scale: 5 Visits City: Istanbul

Feel free to contact us
for better help and service

Book Now
Other Healing Stories
All Healing Stories

To be among the first to receive our free newsletters, please register to our e-newsletter form and confirm your e-mail address.

Get a free dental consultation today!

Please fill the form, we will contact to you for online dental consultation.