phone +90 551 998 33 01
Ask Your Dentist Now

Mary's All on Four Dental Implants Treatment

Mary complained of toothache. We found that the toothache was caused by bone loss. Please check the dental treatment plan, all on four dental implants costs and Mary's comments.

Total Cost £ 5.890
01
Treatment Plan

All-on-4 to upper jaw and 12 teeth metal-porcelain to lower jaw is planned.

02
Before

Marry was complaining of pain in her upper jaw. After xrays check and clinical examinations we noticed that the pain was related with the lack of bone support to the remaining teeth. We decided to make an all-on-four(ALPHABİO) treatment to her upper jaw and 2 implants for molar area in the lower jaw.

03
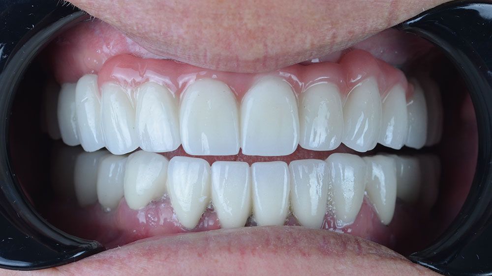
After

After extracting the upper teeth, our surgeon inserted 4 alphabio dental implants to upper jaw. And 2 implants for right molar side of the mandible. After the surgery our prosthodontist also fixed a temporary acyrlic based prosthese into the upper implants which served nicely for 3 months. Afterthat teeth where is located lower jaw are cut. Impresions are taken and send to the lab. Prosthodontist performed the metal porcelain crowns before she went to her country. After the healing period of 3 months, we started to make the preperations for the permanent teeth. 10 days later, after the controls we inserted our all-on-4 porcelain prosthese to provide a better smile and function. Patient was very happy that she told us that nobody understands its a prosthese. Everybody was thinking that they are her original teeth and by hearing that we are so glad also.

£ 5.890 Time Scale: 16 Days City: Istanbul

Feel free to contact us
for better help and service

Book Now
Other Healing Stories
All Healing Stories

To be among the first to receive our free newsletters, please register to our e-newsletter form and confirm your e-mail address.

Get a free dental consultation today!

Please fill the form, we will contact to you for online dental consultation.