phone +90 551 998 33 01
Ask Your Dentist Now

Ergunnes' Zirconium Crowns Treatment

Ergunnes' previous crowns had damaged his gums. After gum treatment, we performed zirconium crowns. Please review his experience and treatment costs.

Total Cost £ 1.995
01
Treatment Plan

Ten unit zirconium crown restoration and periodontal treatments were planned.

02
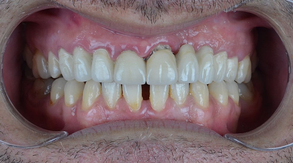
Before

Ergunnes has 10 zirconium crowns before and he had complaint about his gums were itching. We told him that the crowns were not fitting well because of some gum diseases and recessions.

03
After

At first we started with periodontal therapy. Scaling and detertraj is performed and after 4 days of healing, we prepared the teeth and took the impressions. After 3 days, zirconium crowns are finished and luted with resin cement for permanent results. He was very happy with his new smile and the fittings.

£ 1.995 Time Scale: 7 Days City: Istanbul

Feel free to contact us
for better help and service

Book Now
Ergunnes' comment on his experience
Ergunnes 01.10.2023
The dental crowns that I had done before harmed my gums and got a bad appearance. I wanted to change it, I reached this company by searching the internet. We had an online meeting and the dentist listened to me. The treatment plan they offered me seemed appropriate. We arranged my travel and accommodation with the company representative. They picked me up from the airport and took me to my hotel. Everything went very well. I rested for a day and then went to the clinic for my appointment. I had an x-ray and was examined. Doctor Ege created a new plan almost similar to the treatment plan they had made in our previous meeting. Istanbul was very fun, and my treatment was completed as I wanted.
Other Healing Stories
All Healing Stories

To be among the first to receive our free newsletters, please register to our e-newsletter form and confirm your e-mail address.

Get a free dental consultation today!

Please fill the form, we will contact to you for online dental consultation.