phone +90 551 998 33 01
Ask Your Dentist Now

Maciej's Emax Laminate Veneers Treatment

Maciej wanted to improve his smile aesthetics. He met the cure voyage. He had quality dental treatments at affordable prices.

Total Cost £ 650
01
Treatment Plan

2 e-max laminate veneer restorations are planned for 2 central teeth.

02
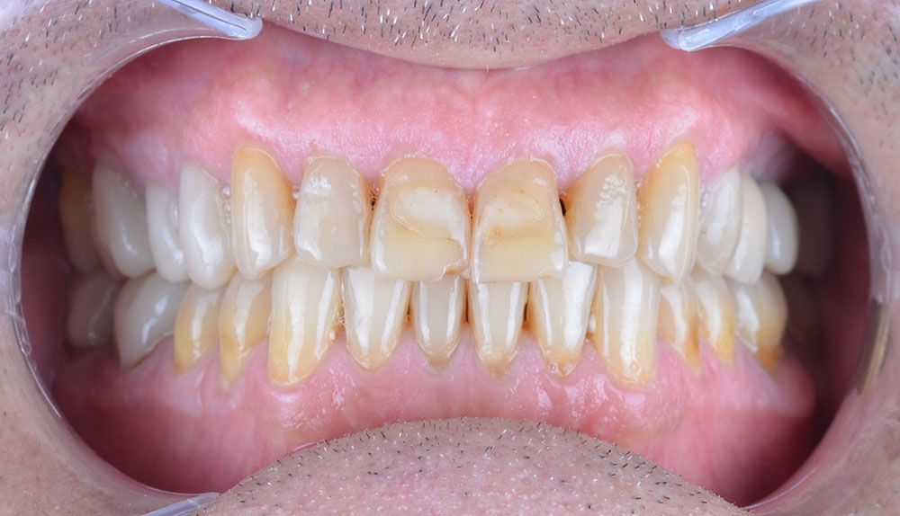
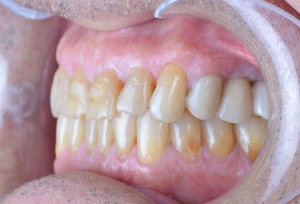
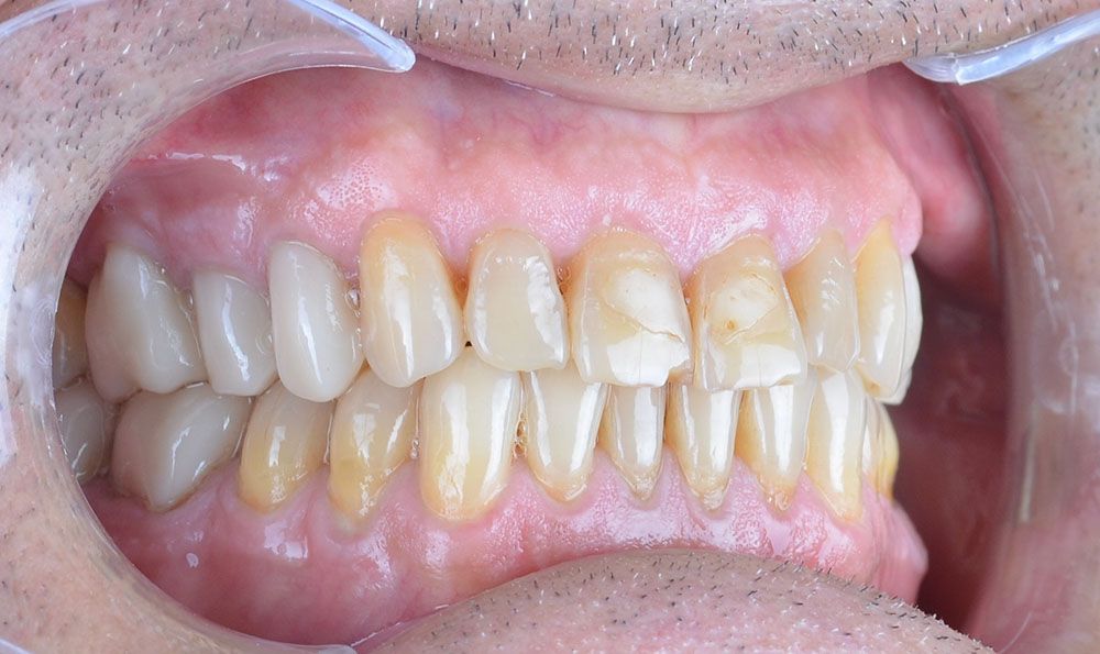
Before

He told us that every dentist he went before told him 10 zirconium crowns are needed. But he has only have problem with his 2 worn central incisors. We told him that we can make just 2 to provide you a natural smile with the most conservative way.

03
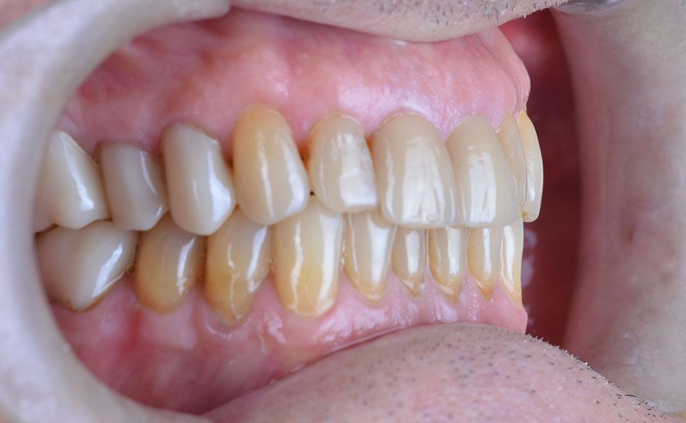
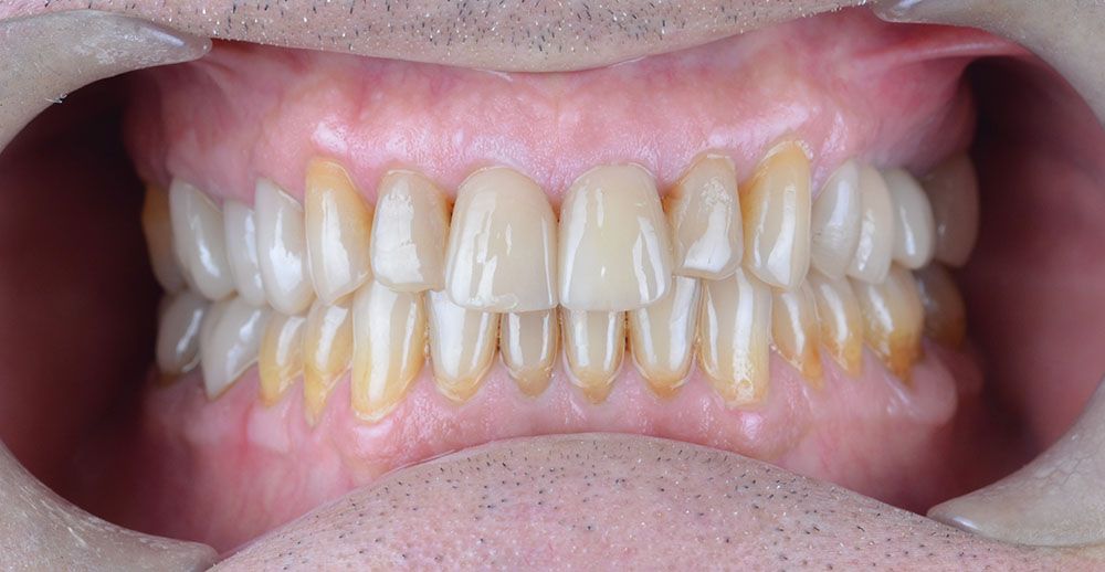
After

After taking his photos we sent it to our lab. Then we began our preperations. Only 0.3 mm of preperation is done because teeth were worn before and there was enough space so we preserved our valuable teeth tissue. After 4 days we manage to finish 2 laminates and luted them with 3M resin cement. His family told us that they can not find which teeth were restorated and we are very happy with the result.

£ 650 Time Scale: 5 Days City: Istanbul

Feel free to contact us
for better help and service

Book Now
Maciej's comment on his treatment experience
Maciej M. 02.07.2023
I had heard that dental treatments were cheap in Turkey. I was concerned about the situation of some of my teeth. I did some research and met with various dentists. In general, they offered to make veneers on my 10 teeth to make my smile aesthetic. I also contacted Belal from this agency and he contacted me with prosthesis specialist Ege. Ege said that he thought I could have an aesthetic smile with fewer veneers. I wanted my teeth to look as natural as possible, so it built trust. I had planned a long holiday, I had a plan just in case. At first, I went to Ege's clinic, I was examined and we decided to make laminate veneers only on my 2 teeth that were worn out. So it was even less costly. My treatment was over before we could even discover Istanbul. I continued my holiday with my new teeth.
Other Healing Stories
All Healing Stories

To be among the first to receive our free newsletters, please register to our e-newsletter form and confirm your e-mail address.

Get a free dental consultation today!

Please fill the form, we will contact to you for online dental consultation.