phone +90 551 998 33 01
Ask Your Dentist Now

Melissa's Clear Aligner & Laminate Veneers Treatment

Melissa wanted laminated veneers, but her teeth alignment was not suitable for this. We first applied clear aligner treatment to minimise the removal of healthy tooth tissue.

Total Cost £ 3.850
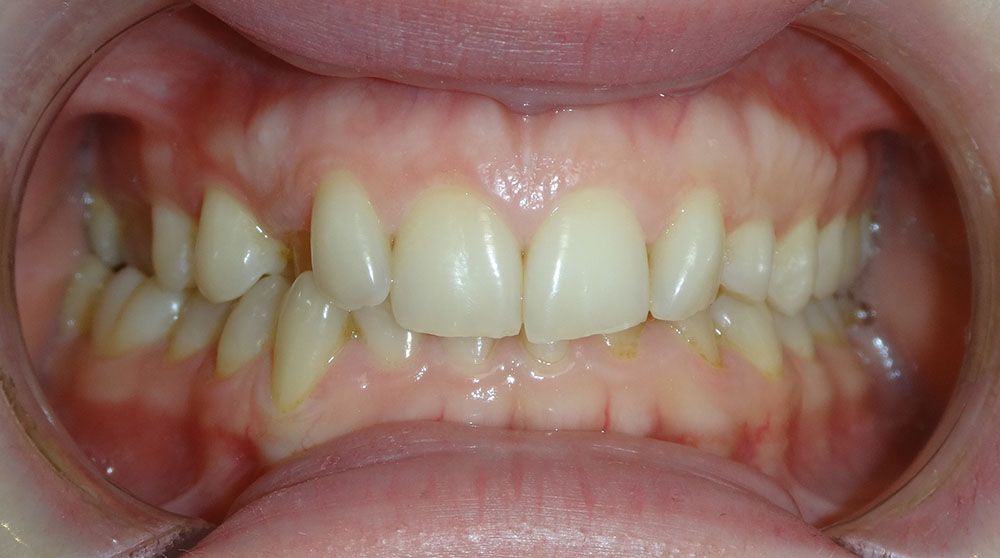
01
Before

She complained with her non aligned teeth and also she was not happy with their shapes. So we started an clear aligner treatment firstly for a year.

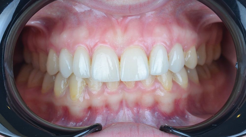
02
After

After finishing the clear aligner orthodontic treatment teeth were aligned well but as she mentioned before she wanted to reshape her smile mostly because of some chippings and colours of her teeth. So we prepared the teeth nearly 0.3 mm in their front surfaces and took our impressions. If orthodontic therapy was not applied first the preperations could be nearly 1 mm which may lead to crowns in some of her teeth. We made her provisional teeth for her comfort. After 4 days, we luted her laminates with our 3M resin laminate veneer luting agent to provide long term better results. She could not believe her eyes that she had a wonderful smile only with 6 laminates. She told us that every dentist wanted to make her 20 crowns. Every teeth tissue is important for us.

03
Treatment Plan

Clear aligners and 6 unit of e-max laminates are planned.

£ 3.850 Time Scale: 12 Days City: Istanbul

Feel free to contact us
for better help and service

Book Now
Melissa's comment on her treatment experience
Melissa N. 01.03.2023
I wanted the smile makeover. I researched and contacted this firm. I had an online consultation with the dentist in Turkey. She convinced me that if we improve the alignment of my teeth, I will have an aesthetic appearance with laminate veneer without much damage to my teeth. She said that we could start clear aligner treatment first, but she said that the issue would be more clear in the clinical environment. The process progressed as we discussed at the beginning. It took some time, but I have both aesthetic and healthy teeth.
Other Healing Stories
All Healing Stories

To be among the first to receive our free newsletters, please register to our e-newsletter form and confirm your e-mail address.

Get a free dental consultation today!

Please fill the form, we will contact to you for online dental consultation.