phone +90 551 998 33 01
Ask Your Dentist Now

Glenn's Invisalign in Turkey

Glenn came to Turkey with his family. Before university, he wanted to treat the angle of his teeth and dental gaps.

Total Cost £ 2660
01
Treatment Plan

Invisalign Lite and Composite Bonding for 2 Teeth

02
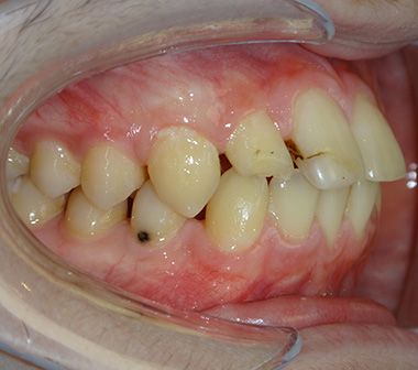
Before

Glenn T. broke 2 teeth as a result of an accident in his childhood. These teeth were filled and the fillings were aged. Glenn was unhappy because of the gaps between his teeth. He also did not like the angle of his front two teeth. He wanted to have his teeth done before he started university. He decided to have invisalign in Turkey with his family.

03
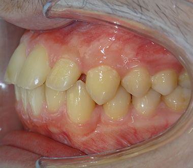
After

Firstly, we treated the gap between the teeth with Invisalign. We also corrected the angle of the front teeth. Invisalign Lite was enough. Glenn visited Turkey 4 times in a period of 8 months. During his last visit, we replaced the old fillings in his front teeth with composite bonding. We performed lingual retrainer to maintain the alignment of the teeth. We produced an sx plate for him to use at night and delivered it to him. Glenn was very happy. He said he wanted to study at a dentistry faculty.

£ 2660 Time Scale: 4 Visits City: Istanbul

Feel free to contact us
for better help and service

Book Now
Glenn's comment on his treatment experience
Glenn T. 10.01.2024
Dr Berra performed my orthodontic treatment. I was comfortable with clear aligners, we thought it would look better than braces. Thank you very much to the Cure Voyage team and Dr Berra.
Other Healing Stories
All Healing Stories

To be among the first to receive our free newsletters, please register to our e-newsletter form and confirm your e-mail address.

Get a free dental consultation today!

Please fill the form, we will contact to you for online dental consultation.